Brain tumor data now available on EBRAINS

Brain tumor data now available on EBRAINS

A large brain tumor bank from the Medical University of Vienna has been digitized and added to the EBRAINS research infrastructure.

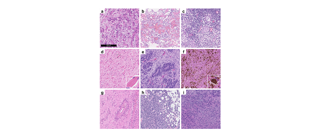
The World Health Organization defines over 100 different types of brain tumor. This large amount can make it difficult for clinicians to diagnose the precise type of brain tumor a patient may have. There is growing interest in supporting diagnosis with artificial intelligence methods – such as machine learning – which can analyze a tumor’s histological appearance.

This approach calls for a large number of accessible digital histopathological datasets. An international team of researchers has taken the first step by digitizing a substantial portion of a dedicated brain tumor bank based at the Division of Neuropathology and Neurochemistry of the Medical University of Vienna. The bank contains brain tumor data from cases – each with their own clinical annotations – recorded between 1995 and 2019.

The data has been uploaded to EBRAINS and made accessible to the scientific community. The data is sorted by diagnostic tumor type (in alphabetical order) for easy access, and is available here.

" “Compiling this huge and well-annotated dataset was really a team-effort, which was only possible due to the commitment of multiple, highly motivated collaborators. We hope that this rich data resource will be widely utilized to support brain tumor research and pave the way towards more personalized diagnosis and treatment of brain tumor patients.” "

Thomas Roetzer-Pejrimovsky , Lead researcher

Create an account

EBRAINS is open and free. Sign up now for complete access to our tools and services.